Contact Us

Phone
0398990148

Email
enquiry@landaledental.com.au

Address
7 Landale Street Box Hill Vic 3128

Online Enquiry

* Required fields

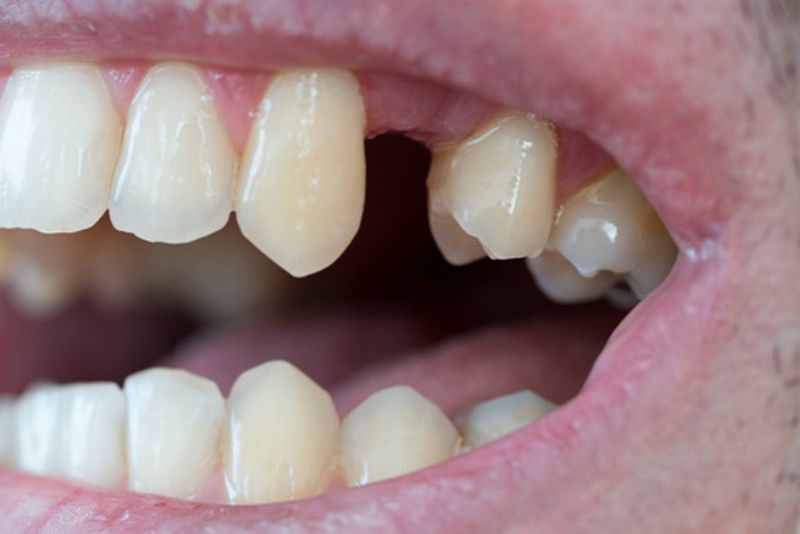
Broken Tooth?

Our teeth are so important for eating, speaking and smiling. When a tooth breaks or fractures, whether large or small, it should be treated as a matter of urgency to prevent the problem worsening as the nerve in your tooth can be implicated. Teeth can break for a variety of reasons such as pre-existing untreated cracks, large fillings or grinding/clenching. At Landale Dental in Box Hill, our dentists take high quality photos to help you see and understand the individual circumstances relating to your broken or cracked tooth. Our dentists will always endeavour to save your broken tooth and will always discuss all the options available to you to solve your current problem and prevent it from recurring again.